FEB 07, 2018 6:06 PM PST

Vaping may Raise the Risk of Pneumonia

WRITTEN BY: Carmen Leitch

Some people that vape instead of smoking cigarettes might think that their habit is not detrimental to their health, but it seems there are serious risks associated with inhaling vapor from e-cigarettes. New work reported in the European Respiratory Journal has found that vaping helps bacteria that cause pneumonia to stick to cells that line the airways. The same results were found in cell culture models, mice, and humans. E-cigarette vapor was found to have a similar impact that particles from burning fossil fuels or regular cigarette smoke do - both also raise the risk of a pneumococcal lung infection.

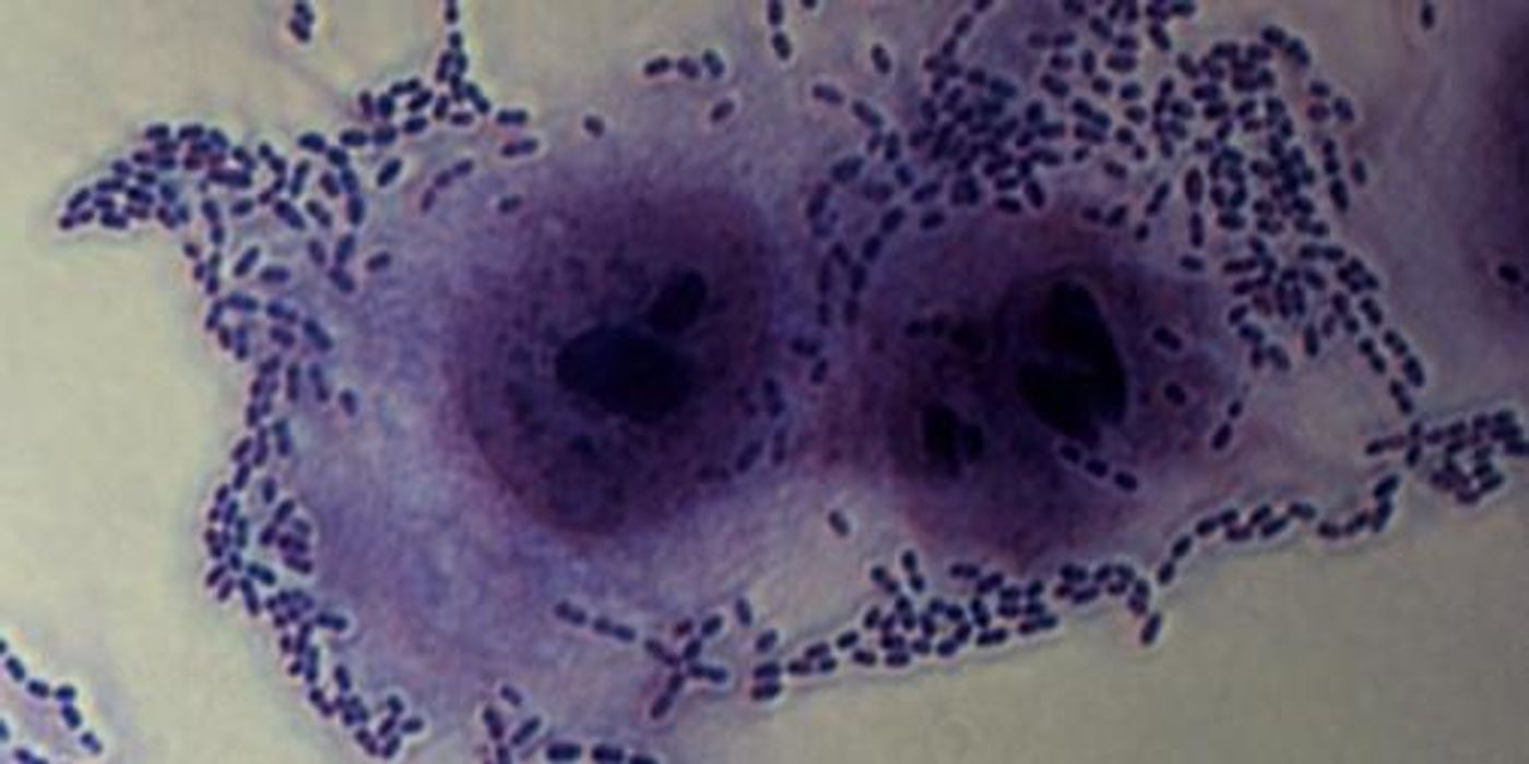
This is pneumococci sticking to a nasal cells. / Credit: Queen Mary University of London
This is pneumococci sticking to a nasal cells. / Credit: Queen Mary University of London

Jonathan Grigg, Professor of Pediatric Respiratory and Environmental Medicine at the Queen Mary University of London, was the lead researcher. He suggested that vaping, especially a long-term habit, can increase the susceptibility to bacterial lung infection.

"Pneumococcal bacteria can exist in our airways without causing illness. However, in some cases, they can invade the lining cells causing pneumonia or septicemia. We know that exposure to traditional cigarette smoke helps these bacteria stick to airway lining cells, increasing the risk of infection. We wanted to see whether or not e-cigarettes might have the same effect,” said Grigg.

Starting with cells that line the human nose, the researchers exposed some to vapor from e-cigarettes, with and without nicotine. Levels of a molecule called PAFR, platelet-activating factor receptor, were higher in cells exposed to both kinds of vapor. PAFR has been shown previously to help pneumococcal bacteria stick to cells in the airways, and levels of it were found to be elevated by pollution, smoking, and welding fumes. When the investigators added pneumococcal bacteria to the mix, they saw that the bacteria getting stuck in the airways was doubled.

This is bacteria sticking to a lower airway cell. / Credit: Queen Mary University of London
This is bacteria sticking to a lower airway cell. / Credit: Queen Mary University of London

When tested in mice, the investigators found that as e-cigarette vapor was inhaled, the PAFR levels were raised. The amount of pneumococcal bacteria went up in the respiratory tract as well; the mice were at higher risk of disease.

They wanted to test their findings in people, and used seventeen research subjects. Ten were e-cigarette users that ingested nicotine, one user liked nicotine-free e-cigarettes, and six did not vape. A baseline level of PAFR as taken, and then measured again after the vaping participants had ten puffs over five minutes. PAFR levels were indeed increased in airway cells, about three-fold.

"Together, these results suggest that vaping makes the airways more vulnerable to bacteria sticking to airway lining cells. If this occurs when a vaper gets exposed to the pneumococcal bacterium, this could increase the risk of infection,” said Grigg.

"Some people may be vaping because they think it is totally safe, or in an attempt to quit smoking, but this study adds to growing evidence that inhaling vapor has the potential to cause adverse health effects. By contrast, other aids to quitting such as patches or gum do not result in airway cells being exposed to high concentrations of potentially toxic compounds."

Pneumonia may not be the only risk posed by e-cigarettes. Learn more from the video.


Sources: AAAS/Eurekalert! Via European Lung Foundation, European Respiratory Journal

About the Author
Bachelor's (BA/BS/Other)
Experienced research scientist and technical expert with authorships on over 30 peer-reviewed publications, traveler to over 70 countries, published photographer and internationally-exhibited painter, volunteer trained in disaster-response, CPR and DV counseling.
You May Also Like
Loading Comments...